Hemoglobinin Yapısı ve Fizyolojik Rolü

Hemoglobin, eritrositler içerisinde bulunan ve başlıca görevi oksijenin akciğerlerden dokulara, karbondioksit ve protonların ise dokulardan akciğerlere taşınması olan bir proteindir. Yapısal olarak hem (prostetik grup) ve globin (protein kısmı) olmak üzere iki ana bileşenden oluşur. Hemoglobinin sentezi, eritropoez sırasında kemik iliğinde gerçekleşir.

Kandaki hemoglobin düzeyinin normalin altında olması anemi, normalin üzerinde olması ise polisitemi olarak tanımlanır.

Hemoglobinopati Nedir?

Hemoglobinopatiler, hemoglobin molekülünü oluşturan globin zincirlerinden birinin yapısal veya sayısal bozukluğu ile karakterize edilen, kalıtsal kan hastalıkları grubudur. Bu hastalıklar iki ana sınıfa ayrılır:

· Talasemi sendromları (α- ve β-talasemi)

· Yapısal hemoglobin varyantları (HbS, HbE, HbC vb.)

Hemoglobinopatiler, klinik olarak hafif hipokromik anemiden, multiorgan tutulumu ile seyreden şiddetli ve transfüzyona bağımlı anemi tablolarına kadar geniş bir spektrumda görülebilir.

Hemoglobinopati Tanısında Mikroskobik İncelemenin Yeri

Günümüzde hemoglobinopatilerin tanısında moleküler ve genetik analizler önemli yer tutsa da periferik kan yaymalarının mikroskobik değerlendirilmesi, tanı sürecinin vazgeçilmez bir basamağıdır.

Mikroskobik boyama teknikleri sayesinde:

· Eritrosit morfolojisindeki bozukluklar

· Hemoglobin çökelmeleri

· Anormal hemoglobin formlarına bağlı hücresel değişiklikler erken dönemde saptanabilir.

Bu yöntemler, hızlı, ekonomik ve yüksek tanısal değer sunmaları nedeniyle klinik laboratuvarlarda yaygın olarak kullanılmaktadır.

Hemoglobinopati Tanısı İçin Profesyonel Mikroskobik Çözümler

GBL® HEMA-ROSE Hematoloji Boyaları Hematoloji ürünleri için başlığı tıklayın

GBL® HEMA-ROSE hematoloji boyaları, hemoglobinopati tanısı ve hematolojik değerlendirmeler için klinik ve araştırma laboratuvarlarının ihtiyaçlarına uygun olarak formüle edilmiştir.

Wright-Giemsa Boyası

Sipariş No

Birim

Hacim

442300020500

Adet

500 ml

Detaylı bilgi için başlığı tıklayın

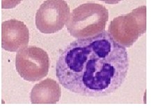
kalıp, küf içeren bir resimAçıklama otomatik olarak oluşturulduWright–Giemsa boyası, periferik kan ve kemik iliği yaymalarında hücre morfolojisinin ayrıntılı incelenmesini sağlar. Özellikle:

· Hedef hücreler

· Bazofilik noktalanma

· Eritrosit boyut ve şekil anomalileri gibi bulguların değerlendirilmesinde etkilidir.

May-Grünwald Giemsa Boyama Seti

Sipariş No

Birim

Hacim

445025050250

Adet

250 ml/ 500 Test

Detaylı bilgi için başlığı tıklayın

May–Grünwald Giemsa yöntemi, Romanowsky tipi boyalar arasında yer alır ve eritrosit, lökosit ve trombositlerin detaylı diferansiyasyonuna olanak tanır. Hemoglobinopatilerde görülen eritrosit morfolojik varyasyonlarının ortaya konmasında yaygın olarak kullanılır.

Giemsa Boyası; Konsantre

Sipariş No

Birim

Hacim

453546020500

Adet

500 ml

Detaylı bilgi için başlığı tıklayın

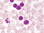
çiçek, renklilik, sanat, ekran görüntüsü içeren bir resimAçıklama otomatik olarak oluşturulduGiemsa boyası, DNA’nın fosfat gruplarına özgü bağlanma özelliği sayesinde hücre çekirdeği ve sitoplazmik yapıları belirginleştirir. Eritrosit içi yapısal değişikliklerin ve eşlik eden paraziter enfeksiyonların değerlendirilmesine katkı sağlar.

Wright Boyası

Sipariş No

Birim

Hacim

442413020500

Adet

500 ml

Detaylı bilgi için başlığı tıklayın

sanat, kalıp, desen, düzen içeren bir resimAçıklama otomatik olarak düşük güvenilirlik düzeyiyle oluşturulduWright boyası, hızlı ve pratik uygulaması sayesinde rutin hematoloji laboratuvarlarında sıkça tercih edilir. Metanol bazlı yapısı, ek fiksasyon gereksinimini ortadan kaldırır.

May Grünwald Boyası

Sipariş No

Birim

Hacim

442306020500

Adet

500 ml

Detaylı bilgi için başlığı tıklayın

mor, leylak, renklilik, macenta içeren bir resimAçıklama otomatik olarak oluşturulduMay Grünwald boyası, boya bileşeni olarak metilen mavisi, azur ve asit boya bileşeni olarak eozinin kombinasyonuna dayanan bir Romanowsky nötr boyasıdır. Kan numunelerinin veya kemik iliği numunelerinin boyanmasında kullanılmak üzere tasarlanmıştır. Hematolojide rutin olarak kullanılmaktadır. Ayrıca malarya parazitlerinin kanda aranması ve kan hücrelerinin ayrımı ve incelenmesinde kullanılır.

Sahli Hemoglobin Sayım Çözeltisi

Sipariş No

Birim

Hacim

443546020500

Adet

500 ml

Detaylı bilgi için başlığı tıklayın

Kandaki hemoglobin miktarını; hemoglobinin, hidroklorik asit ile asit hematine dönüşmesi ve koyu kahverengi-sarı renk alması esasına dayanarak ölçmek için kullanılır.

Boyama Tekniklerinin Genel Avantajları

· Yüksek hassasiyet: Anormal eritrosit morfolojilerinin saptanmasında etkilidir

· Ekonomiklik: Düşük maliyetli ve kolay uygulanabilir

· Hızlı sonuç: Moleküler yöntemlere kıyasla kısa sürede değerlendirme imkânı

Sonuç

Hemoglobinopati tanısında mikroskobik boyama teknikleri, erken tanı, doğru sınıflama ve klinik yönlendirme açısından büyük önem taşır. Bu yöntemler, genetik analizlerle birlikte kullanıldığında tanısal doğruluğu artırarak hastaların etkin şekilde izlenmesine olanak sağlar.

Kullanıcı taleplerine bağlı olarak, setler veya set bileşenleri ayrı ayrı ve istenilen hacimlerde temin edilebilmektedir.

İletişim ve Teklif

Ürünlerimizle ilgili teknik dokümantasyon talepleriniz için kalite@gbl.com.tr, fiyat teklifi almak için teklif@gbl.com.tr adresleri üzerinden bizimle iletişime geçebilirsiniz.

Mikroskopi alanındaki diğer ürünlerimiz lütfen Mikroskopi GBL web sitemizi ziyaret ediniz.

Yazar: Ebubekir ERTAŞ / Biyolog
E-Mail:
bekir@gbl.com.tr
Birim: Mikroskopi Ürün Grubu Sorumlusu
Tarihi: 25.12.2024

Yukarı